
Before
Transpositioned and impacted lower right canine seen in the midline, deepbite and forwardly placed upper front teeth

After
Lower right canine moved to it’s correct position, deepbite corrected, upper front teeth retracted behind

Before
Severe crowding in the lower front teeth with lower right canine seen in the midline

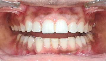
After
Perfectly aligned upper and lower teeth with lower right canine moved to its position in the arch with fixed braces treatment.

Before
Pretreatment smile showing black spaces at the corners and forwardly placed upper front teeth

After
Happy patient showing her beautiful broad and full smile!!
